|
||||||||||||
|
|
||||||||||||||||||||||||||||
| 1.定義 | ||||||||||||||||||||||||||||
主として粘膜を浸し、しばしばびらんや潰瘍を形成する大腸の原因不明のびまん性非特異性炎症である。WHOのConcil for International Organization of Medical Science(CIOMS)医科学国際組織委員会で定められた名称と概念は、次の通りである。(1973) 特異性大腸炎 idipatic proctocolitis An ideopathic, non-specific inflammatory disorder involving primarily the mucosa and submucosa of the coon, especially the rectum. It appears mainly in adults under the age of 30, but may affect children and adults over the age 50. Its aetiology remains unknown, but immunopathological mechanisms and predisposing psychological factors are believed to be involved. It usually produces a bloody diarrhoea and various degrees of systemic involvement, liability to malignant degeneration, if of long duration and affecting the entire colon. 訳)主として粘膜と粘膜下層をおかす、大腸とくに直腸の特発性、非特異性の炎症性疾患。30歳以下の成人に多いが、小児や50歳以上の年齢層にもみられる。原因は不明で、疫学病理学的機序や心理学的要因の関与が考えられている。通常血性下痢と種々の程度の全身症状を示す。長期にわたり、かつ大腸全体をおかす場合には悪性化の傾向がある。 棟方昭博:厚生省特定疾患難治性炎症性腸管障害調査研究班 平成9年度研究報告書 |
||||||||||||||||||||||||||||
| ■疫学 平成3年の全国疫学調査では、受療患者数は22,300(95%信頼区間20,700〜23,800)と推定され、人口10万対の有病率は18.12(男性18.7、女性18.17)で、罹患率は1.95(男性2.23、女性1.68)である。発症年齢は男性で20〜24歳、女性で25〜29歳にピークがみられ、全体では20〜24歳であった。 特定疾患医療受給者証交付件数から患者数の推移をみると平成12年には66,714人が登録されており、毎年10%程度の増加を示している。 |
||||||||||||||||||||||||||||
| ▼潰瘍性大腸炎の推定発症年齢 | ||||||||||||||||||||||||||||
![]() |
||||||||||||||||||||||||||||
| ▼潰瘍性大腸炎患者数の推移 | ||||||||||||||||||||||||||||
![]() |
||||||||||||||||||||||||||||
| ▼医療受給者率 | ||||||||||||||||||||||||||||
![]() |
||||||||||||||||||||||||||||
| 潰瘍性大腸炎の診断 | ||||||||||||||||||||||||||||
| ■診断の手順 慢性の粘血・血便などがあり本症が疑われるときには、放射性照射歴、抗生剤服用歴、海外渡航歴などを聴取するとともに、細菌学的・寄生虫学的検査を行って感染性腸炎を除外する。次に直腸あるいはS状結腸内視鏡検査を行って本症に特徴的な腸病変を確認する。その際、生検を併用する。これだけの検査で多くは診断が可能であるが、必要に応じて注腸X線検査や全大腸内視鏡検査などを行って、腸病変の性状や程度、罹患範囲などを検査し、同時に他の疾患を除外する。 棟方昭博:厚生省特定疾患難治性炎症性腸管障害調査研究班 平成9年度研究報告書 |
||||||||||||||||||||||||||||
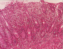
| ■診断基準 次のa)のほか、b)のうちの1項目、およびc)を満たし、下記の疾患が除外できれば、確診とする。 a)臨床症状:持続性または反復性の粘血・血便、あるいはその既往がある。 b)@内視鏡検査:i)粘膜はびまん性におかされ、血管透見像は消失し、粗像または細顆粒状を呈する。さらに、もろくて易出血性(接触出血)を伴い、粘血膿性の分泌物が付着しているか、ii)多発性のびらん、潰瘍、iii)偽ポリポーシスを認める。 A注腸X線検査:i)粗ぞうまたは細顆粒状の粘膜表面のびまん性変化、ii)多発性のびらん、潰瘍、iii)偽ポリポーシスを認める。その他、ハウストラの消失(鉛管像)や腸管の狭小・短縮が認められる。 c)生検組織学的検査:活動期では粘膜全層にびまん性炎症細胞浸潤、陰窩膿瘍、高度な杯細胞減少が認められる。緩解期では腺の配列異常(蛇行・分岐)、萎縮が残存する。 上記変化は通常直腸から連続性に口側にみられる。 b)c)の検査が不十分、あるいは施工できなくとも、切除手術または剖検により、肉眼的および組織学的に本症に特徴的な所見を認める場合は、下記の疾患が除外できれば、確診とする。 除外すべき疾患は、細菌性赤痢、アメーバ赤痢、サルモネラ腸炎、キャンピロバクタ腸炎、大腸結核などの感染性腸炎が主体で、その他にクローン病、放射線照射性大腸炎、薬剤性大腸炎、リンパ濾胞増殖症、虚血性大腸炎、腸型ベーチェットなどがある。 注1)まれに血便に気付いていない場合や、血便に気付いてすぐ来院する(病悩期間が短い)場合もあるので注意を要する。 注2)所見が軽度で診断が確実でないものは「疑診」として取り扱い、後日再燃時などに明確な所見が得られた時に本症と「確診」する。 棟方昭博:厚生省特定疾患難治性炎症性腸管障害調査研究班 平成9年度研究報告書
|
||||||||||||||||||||||||||||
| 病態(病型・病期・重症度)の分類 | ||||||||||||||||||||||||||||
| ■病変の拡がりによる病型分類 ------------------------------------------------------ 全大腸炎 total colitis 左側大腸炎 left-sided colitis 直腸炎 proctitis 右側あるいは区域性大腸炎 right-sided or segmental colitis ------------------------------------------------------ 注3)直腸炎は、診断基準を満たしているが、内視鏡検査により直腸S状部(Rs)の口側に正常粘膜を認めるもの。 注4)左側大腸炎は、病変の範囲が横行結腸中央部を超えていないもの。 注5)右側あるいは区域性大腸炎は、クローン病や大腸結核との鑑別が困難で、診断は経過観察や切除手術または剖検の結果を待たねばならないこともある。 棟方昭博:厚生省特定疾患難治性炎症性腸管障害調査研究班 平成9年度研究報告書 |
||||||||||||||||||||||||||||
■初診時罹患範囲![]() 特殊型:2.4% 不明:2% 記載なし:3.9% *対象:平成3年の1年間に受診した新発症症例457例 守田則一ほか:厚生省特定疾患難治性炎症性腸管障害調査研究班 平成6年度研究報告書 |
||||||||||||||||||||||||||||
| ■病期の分類 ------------------------- 活動期 active stage 緩解期 remission stage ------------------------- 注6)活動期は血便を訴え、内視鏡的に血管透見像の消失、易出血性、びらん、または潰瘍などを認める状態。 注7)緩解期は血便が消失し、内視鏡的には活動期の消失し、血管透見像が出現した状態。 棟方昭博:厚生省特定疾患難治性炎症性腸管障害調査研究班 平成9年度研究報告書 |
||||||||||||||||||||||||||||
■臨床的重症度による分類
注8)軽症の3)、4)、5)の(-)とは37.5度以上の発熱がない、90/分以上の頻脈がない、Hb10g/dl以下の貧血がないことを示す。 注9)重症とは1)および2)の他に全身症状である3)または4)のいずれかを満たし、かつ6項目のうち4項目以上を満たすものとする。軽症は6項目すべてを満たすものとする。 注10)上記の重症と軽症との中間にあたるものを中等症とする。 注11)重症の中でも特に症状が激しく重篤なものを激症とし、発症の経過により、急性激症型と再燃激症型に分ける。激症の診断基準は以下の5項目をすべて満たすものとする。 (1)重症基準を満たしている。 (2)15回/日以上の血性下痢が続いている。 (3)38度以上の持続する高熱がある。 (4)10,000/mm3以上の白血球増多がある。 (5)強い腹痛がある。 棟方昭博:厚生省特定疾患難治性炎症性腸管障害調査研究班 平成9年度研究報告書 |
||||||||||||||||||||||||||||
■初診時重症度![]() 守田則一ほか:厚生省特定疾患難治性炎症性腸管障害調査研究班 平成6年度研究報告書 |
||||||||||||||||||||||||||||
| 病態の分類 | ||||||||||||||||||||||||||||
■活動期内視鏡的所見による分類
注12)内視鏡的に観察した範囲で最も所見の強いところで診断しする。 内視鏡検査は前処置なしで短時間で施行し、必ずしも全大腸を観察する必要はない。 棟方昭博:厚生省特定疾患難治性炎症性腸管障害調査研究班 平成9年度研究報告書
|
||||||||||||||||||||||||||||
■潰瘍性大腸炎の主訴![]() |
||||||||||||||||||||||||||||
■潰瘍性大腸炎の腸管合併症![]() |
||||||||||||||||||||||||||||
| ■潰瘍性大腸炎の予後 潰瘍性大腸炎の生命予後は1960年代にステロイド治療の登場により著しく改善されたが、その後、内科的・外科的治療の進歩によりさらに改善されてきている。 一般に発症時の重傷度が重いほど、罹患範囲が広いほど手術率、死亡率が高くなるが、近年の報告では生存率は一般と比べて差がないとする報告もみられる。手術理由は発症5年以内では激症例や重症例の内科治療無効例が多く、5年以降は慢性持続型などの難治例が対象となりやすい。 |
||||||||||||||||||||||||||||
| IBD current 別冊「一目でわかるIBD」 2002年1月 より | ||||||||||||||||||||||||||||
| ▲ MENU Top |